Skip links
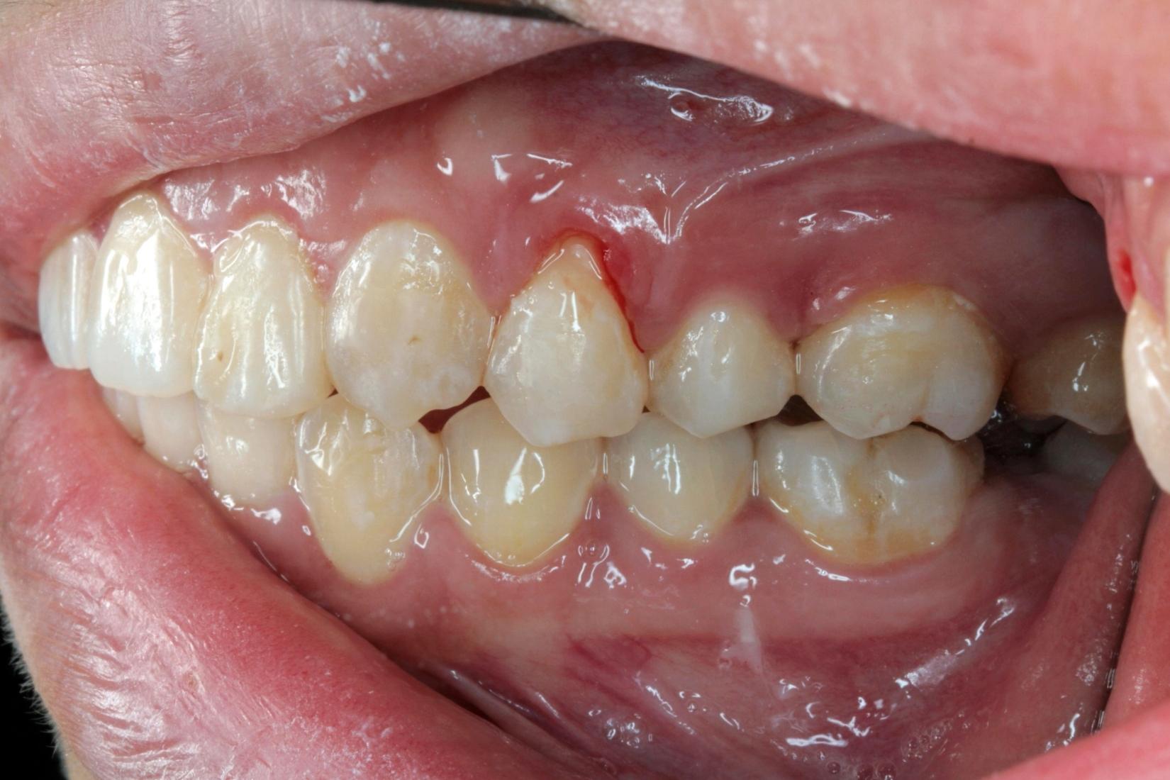
Diş eti çekilmesini ve kök yüzeyinin açığa çıkmasını gösteren ağız içi detay görseli.

Diş Eti Çekilmesi Neden Olur? Günlük Hayatta Nelere Dikkat Edilmeli?

Diş eti sağlığı, yalnızca ağız içi konfor için değil, dişlerin uzun süre sağlıklı şekilde ağızda kalabilmesi açısından da büyük önem taşır. Diş eti çekilmesi, diş etinin diş yüzeyinden geriye doğru çekilmesi ve diş kökünün kısmen ya da tamamen açığa çıkmasıyla tanımlanan bir durumdur. Toplumda oldukça sık görülmesine rağmen çoğu zaman erken dönemde fark edilmez ve ilerleyici bir süreç gösterebilir.

Diş Eti Çekilmesi Nedir?

Diş eti çekilmesi, dişleri çevreleyen yumuşak dokunun zamanla aşağı veya yukarı yönde hareket ederek diş kökünü açığa çıkarmasıdır. Bu durumda:

  • Dişler olduğundan daha uzun görünür

  • Diş kökleri dış etkenlere açık hâle gelir

  • Hassasiyet artabilir

Diş eti çekilmesi tek bir dişte görülebileceği gibi birden fazla dişi de etkileyebilir.

Diş Eti Çekilmesi Neden Önemlidir?

Diş eti, dişi dış etkenlerden koruyan doğal bir bariyerdir. Çekilme meydana geldiğinde:

  • Diş kökleri daha hassas hâle gelir

  • Çürük riski artabilir

  • Diş destek dokularında zayıflama görülebilir

  • İlerleyen durumlarda diş kaybı riski ortaya çıkabilir

Bu nedenle diş eti çekilmesi yalnızca estetik bir sorun olarak değerlendirilmemelidir.

Diş Eti Çekilmesinin Nedenleri Nelerdir?

Diş eti çekilmesi tek bir nedene bağlı değildir. Çoğu zaman birden fazla faktör birlikte rol oynar.

1. Diş Eti Hastalıkları (Periodontal Hastalıklar)

Diş eti iltihabı ve ilerleyen periodontal hastalıklar, diş eti çekilmesinin en yaygın nedenleri arasında yer alır. Uzun süre kontrol altına alınmayan iltihap, diş eti dokusunun yapısını zayıflatabilir.

2. Yanlış Diş Fırçalama Alışkanlıkları

Aşırı sert fırçalama veya yanlış teknikle yapılan fırçalama:

  • Diş eti dokusuna zarar verebilir

  • Diş eti kenarında travmaya neden olabilir

Zamanla bu durum diş eti çekilmesine yol açabilir.

3. Sert Kıllı Diş Fırçası Kullanımı

Sert kıllı diş fırçaları, diş etine sürekli mekanik baskı uygulayarak dokunun gerilemesine zemin hazırlayabilir.

4. Diş Sıkma ve Gıcırdatma (Bruksizm)

Diş sıkma alışkanlığı, dişler üzerinde aşırı kuvvet oluşturur. Bu kuvvet, diş eti ve çevre destek dokularını olumsuz etkileyebilir.

5. Diş Taşı Birikimi

Diş taşı, diş eti kenarında birikerek dokunun tahriş olmasına neden olabilir. Bu durum zamanla diş eti çekilmesini tetikleyebilir.

6. Genetik Yatkınlık

Bazı bireylerde diş eti dokusu yapısal olarak daha ince olabilir. Bu kişilerde diş eti çekilmesi riski daha yüksek olabilir.

7. Hatalı Diş Dizilimi ve Kapanış Problemleri

Dişlerin çene üzerinde yanlış konumlanması, belirli bölgelere aşırı yük binmesine neden olabilir. Bu durum diş eti çekilmesine katkıda bulunabilir.

8. Sigara ve Tütün Ürünleri Kullanımı

Sigara kullanımı, diş eti dokusunun beslenmesini olumsuz etkileyerek iyileşme kapasitesini azaltabilir.

9. Hormonal Değişimler

Gebelik, ergenlik ve menopoz gibi dönemlerde hormonal dalgalanmalar diş eti dokusunu daha hassas hâle getirebilir.

Diş Eti Çekilmesinin Belirtileri Nelerdir?

Diş eti çekilmesi çoğu zaman yavaş ilerlediği için erken dönemde fark edilmeyebilir. Yaygın belirtiler şunlardır:

  • Dişlerin olduğundan uzun görünmesi

  • Diş köklerinin görünür hâle gelmesi

  • Soğuk ve sıcak hassasiyeti

  • Diş eti kenarında düzensizlik

  • Diş etlerinde kanama veya hassasiyet

  • Diş aralarında boşluk hissi

Bu belirtiler ilerleyici olabilir ve zamanla artabilir.

Diş Eti Çekilmesi Her Zaman Ağrı Yapar mı?

Hayır. Diş eti çekilmesi her zaman ağrı ile birlikte görülmeyebilir. Bazı bireylerde yalnızca estetik değişiklikler fark edilirken, bazı kişilerde hassasiyet ön planda olabilir. Ağrının olmaması durumun önemsiz olduğu anlamına gelmez.

Diş Eti Çekilmesinin Günlük Hayata Etkileri

Diş eti çekilmesi, zamanla bireyin yaşam kalitesini etkileyebilir:

  • Soğuk içeceklerde rahatsızlık hissi

  • Diş fırçalarken hassasiyet

  • Estetik kaygılar

  • Çiğneme sırasında rahatsızlık

Bu etkiler günlük yaşamı zorlaştırabilir.

Diş Eti Çekilmesinden Korunmak İçin Günlük Hayatta Nelere Dikkat Edilmeli?

Diş eti çekilmesini tamamen önlemek her zaman mümkün olmasa da, risk azaltılabilir.

1. Doğru Diş Fırçalama Tekniği

  • Yumuşak kıllı diş fırçası tercih edilmelidir

  • Dairesel ve nazik hareketlerle fırçalama yapılmalıdır

  • Aşırı bastırmaktan kaçınılmalıdır

2. Ara Yüz Temizliği Alışkanlığı

Diş ipi veya ara yüz fırçaları, diş eti sağlığını destekler.

3. Diş Taşı Oluşumunun Önlenmesi

Düzenli ağız bakımı, diş taşı birikimini azaltmaya yardımcı olur.

4. Diş Sıkma Alışkanlığının Farkında Olmak

Gün içinde dişlerin sürekli temas hâlinde olup olmadığı gözlemlenmelidir.

5. Ağız Bakım Ürünlerinin Bilinçli Seçilmesi

Aşındırıcı etkisi yüksek ürünlerin uzun süreli kullanımı diş eti dokusunu olumsuz etkileyebilir.

6. Sigara ve Tütün Ürünlerinden Kaçınmak

Bu ürünler diş eti sağlığı üzerinde olumsuz etkilere sahiptir.

Diş Eti Çekilmesi İlerlemeden Fark Edilebilir mi?

Evet. Erken dönemde fark edilen diş eti çekilmesi, ilerlemeden kontrol altına alınabilir. Bu nedenle:

  • Diş eti kenarları düzenli olarak gözlemlenmelidir

  • Hassasiyet artışı dikkate alınmalıdır

Diş Eti Çekilmesi ve Yaş Faktörü

Yaş ilerledikçe diş eti dokusunda doğal değişimler görülebilir. Ancak her diş eti çekilmesi yaşa bağlı değildir. Genç bireylerde de yanlış alışkanlıklar nedeniyle çekilme görülebilir.

Sıkça Sorulan Sorular (SSS)

  • Diş eti çekilmesi kendiliğinden düzelir mi?
    • Genellikle kendiliğinden geriye dönmez.
  • Sert fırçalamak dişleri daha iyi temizler mi?
    • Hayır, aksine diş eti dokusuna zarar verebilir.
  • Diş eti çekilmesi sadece yaşlılarda mı olur?
    • Hayır, her yaş grubunda görülebilir.
  • Hassasiyet diş eti çekilmesinin göstergesi olabilir mi?
    • Evet, özellikle kök yüzeyi açığa çıktığında hassasiyet artabilir.
  • Diş eti çekilmesi estetik bir sorun mudur?
    • Estetik etkileri olabilir ancak aynı zamanda fonksiyonel bir durumdur.
  • Diş eti çekilmesi diş kaybına yol açar mı?
    • İleri ve kontrolsüz durumlarda diş destek dokuları etkilenebilir.

Diş eti çekilmesi, birçok farklı faktörün bir araya gelmesiyle ortaya çıkan ve zaman içinde ilerleyebilen bir durumdur. Günlük yaşamda edinilen alışkanlıklar, ağız bakım rutini ve bireysel yatkınlıklar bu süreci doğrudan etkiler. Erken farkındalık, doğru ağız bakımı ve bilinçli yaklaşım, diş eti sağlığının korunmasında önemli rol oynar. Diş eti dokusunun sağlıklı kalması, dişlerin uzun yıllar fonksiyonunu sürdürebilmesi için temel unsurlardan biridir.

Leave a comment

Explore
Drag