Skip links
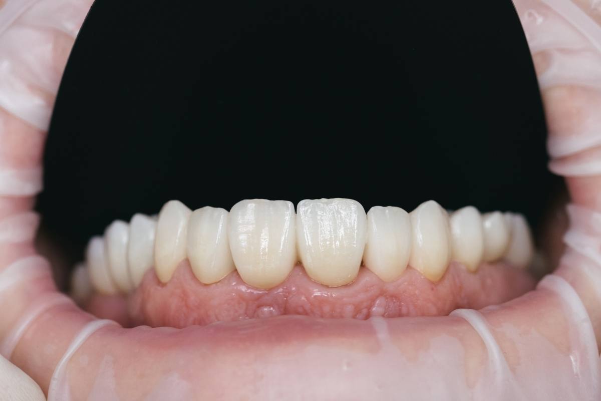
Zirkonyum diş kaplama uygulanmış doğal görünümlü dişlerin ağız içi detay görüntüsü.

Zirkonyum Kaplama ile Doğal ve Parlak Gülüşler

Diş hekimliğinde estetik ve fonksiyonel beklentilerin birlikte değerlendirilmesi, modern tedavi yaklaşımlarının temelini oluşturur. Günümüzde dişlerde renk, şekil veya yapı bozukluklarının giderilmesinde kullanılan kaplama seçenekleri arasında zirkonyum esaslı restorasyonlar önemli bir yer tutmaktadır. Zirkonyum kaplamalar, hem dayanıklılık hem de doğal diş görünümüne yakın estetik özellikleri nedeniyle diş hekimliği uygulamalarında sıkça tercih edilen bir materyal türüdür.

Zirkonyum Kaplama Nedir?

Zirkonyum kaplama, altyapısında zirkonyum dioksit adı verilen beyaz renkli bir seramik materyalin kullanıldığı diş kaplama türüdür. Metal içermeyen bu yapı, diş rengini yansıtan özelliklere sahiptir ve doğal diş görünümüne yakın sonuçlar elde edilmesini amaçlar.

Zirkonyum esaslı kaplamalar:

  • Tek diş restorasyonlarında

  • Birden fazla dişi kapsayan sabit protezlerde

  • Ön ve arka diş bölgelerinde

kullanılabilmektedir.

Zirkonyumun Diş Hekimliğinde Kullanım Özellikleri

Zirkonyum materyali, tıbbi alanda uzun süredir kullanılan biyouyumlu bir seramiktir. Diş hekimliğinde kullanılmasının temel nedenleri şunlardır:

  • Doku uyumluluğunun yüksek olması

  • Dayanıklı bir yapıya sahip olması

  • Işığı geçirme özelliği sayesinde doğal görünüm sunabilmesi

  • Metal altyapılara kıyasla daha estetik sonuçlar verebilmesi

Bu özellikler, zirkonyum kaplamaların hem estetik hem de fonksiyonel beklentiler doğrultusunda değerlendirilmesini sağlar.

Zirkonyum Kaplama Hangi Durumlarda Uygulanabilir?

Zirkonyum kaplama, farklı klinik ihtiyaçlara göre planlanabilir. Genel olarak şu durumlarda tercih edilebilir:

  • Dişlerde ileri düzey renklenmeler

  • Yapısal form kayıpları

  • Eski kaplamaların yenilenmesi

  • Diş aralıklarının kapatılması

  • Hafif çapraşıklıkların restoratif olarak düzeltilmesi

  • Kanal tedavisi sonrası zayıflayan dişlerin korunması

Her bireyin ağız yapısı ve ihtiyacı farklı olduğundan, uygulama kararı klinik değerlendirme ile belirlenir.

Zirkonyum Kaplamaların Estetik Özellikleri

Zirkonyum kaplamaların estetik açıdan dikkat çeken yönleri bulunmaktadır:

1. Doğal Diş Rengine Yakınlık

Zirkonyum, ışık geçirgenliği sayesinde diş minesine benzer bir görünüm sunar. Bu özellik özellikle ön diş bölgesinde estetik beklentilerin karşılanmasına yardımcı olur.

2. Diş Eti Uyumu

Metal altyapılı kaplamalarda zamanla görülebilen diş eti kenarında koyu renk yansımaları, zirkonyum kaplamalarda daha az gözlenir.

3. Renk Stabilitesi

Zirkonyum kaplamalar, dış etkenlere karşı dirençli yapıları sayesinde renk değişimine karşı dayanıklıdır.

Zirkonyum Kaplama Tedavi Süreci Nasıl İlerler?

Zirkonyum kaplama tedavisi belirli aşamalarla ilerler. Bu süreç genel hatlarıyla şu şekilde özetlenebilir:

1. Muayene ve Planlama

İlk aşamada dişlerin durumu değerlendirilir. Diş eti sağlığı, dişlerin kapanışı ve mevcut restorasyonlar göz önünde bulundurulur. Tedavi planı bireysel ihtiyaçlara göre oluşturulur.

2. Dişlerin Hazırlanması

Kaplama yapılacak dişler, ölçü alınabilmesi için uygun şekilde hazırlanır. Bu işlem sırasında diş dokusuna kontrollü bir şekillendirme uygulanır.

3. Ölçü Alınması

Dişlerin ölçüsü klasik yöntemlerle veya dijital tarayıcılar aracılığıyla alınabilir. Bu ölçüler, zirkonyum altyapının kişiye özel hazırlanmasını sağlar.

4. Geçici Restorasyonlar

Tedavi süresi boyunca dişlerin korunması ve estetik bütünlüğün sağlanması amacıyla geçici kaplamalar uygulanabilir.

5. Zirkonyum Kaplamanın Hazırlanması

Laboratuvar ortamında hazırlanan zirkonyum kaplama, dişin rengine ve formuna uygun şekilde üretilir.

6. Uygulama ve Kontrol

Hazırlanan kaplama dişe yerleştirilir, uyum ve kapanış kontrolleri yapılır. Gerekli düzenlemeler tamamlandıktan sonra sabitlenir.

Zirkonyum Kaplamaların Dayanıklılığı

Zirkonyum, yüksek dayanıklılığa sahip bir materyaldir. Çiğneme kuvvetlerine karşı dirençlidir ve arka diş bölgelerinde de güvenle kullanılabilir. Ancak her restorasyonda olduğu gibi, uzun ömürlü kullanım için doğru ağız bakımı önemlidir.

Zirkonyum Kaplama Sonrası Ağız Bakımı

Kaplama sonrası bakım, doğal dişlerle benzer prensiplere dayanır:

  • Günde en az iki kez diş fırçalama

  • Diş ipi veya ara yüz fırçası kullanımı

  • Sert cisimleri dişlerle kırmaktan kaçınma

  • Düzenli ağız hijyeninin sürdürülmesi

Bu alışkanlıklar, hem kaplamaların hem de çevre dokuların sağlığını destekler.

Zirkonyum Kaplamalarda Diş Eti Sağlığı

Diş eti sağlığı, kaplamaların uzun vadeli başarısında önemli rol oynar. Zirkonyum materyali, diş etiyle uyumlu yapısı sayesinde doğru planlama ile sağlıklı bir diş eti hattının korunmasına katkı sağlar. Ancak mevcut diş eti hastalıkları varsa, kaplama öncesinde bu durumun ele alınması gerekebilir.

Zirkonyum Kaplama Kimler İçin Uygun Olmayabilir?

Her restoratif çözüm her birey için uygun olmayabilir. Örneğin:

  • Aktif diş eti hastalığı bulunan bireyler

  • İleri düzey diş sıkma alışkanlığı olanlar

  • Ağız hijyenini sürdürmekte zorlanan kişiler

Bu gibi durumlarda alternatif yaklaşımlar veya ek önlemler değerlendirilebilir.

Zirkonyum Kaplama ile İlgili Sık Sorulan Sorular

  • Zirkonyum kaplama doğal görünür mü?
    • Işık geçirgenliği sayesinde doğal diş görünümüne yakın sonuçlar elde edilebilir.
  • Zirkonyum kaplamalar metal içerir mi?
    • Hayır, zirkonyum kaplamalar metal içermez.
  • Kaplama sonrası hassasiyet olur mu?
    • Bazı bireylerde geçici hassasiyet görülebilir.
  • Zirkonyum kaplamalar uzun ömürlü müdür?
    • Doğru bakım ve düzenli kontrollerle uzun süre kullanılabilir.
  • Zirkonyum kaplama diş eti çekilmesine neden olur mu?
    • Uygun planlama ve bakım ile diş eti uyumu sağlanabilir.
  • Kaplama sonrası renk değişimi olur mu?
    • Zirkonyum materyali renk stabilitesi açısından dayanıklıdır.

Zirkonyum Kaplamalarda Estetik ve Fonksiyon Dengesi

Diş hekimliğinde amaç yalnızca estetik bir görünüm sağlamak değil, aynı zamanda çiğneme fonksiyonunun korunmasıdır. Zirkonyum kaplamalar, bu iki hedefin birlikte değerlendirilmesine olanak tanıyan restorasyon seçeneklerinden biridir.

Zirkonyum kaplamalar, diş hekimliğinde estetik beklentiler ile fonksiyonel gereksinimlerin birlikte ele alındığı modern restoratif uygulamalardan biridir. Doğal diş görünümüne yakın estetik özellikleri, dayanıklı yapısı ve biyouyumlu özellikleri sayesinde farklı klinik durumlarda değerlendirilebilir.

Her bireyin ağız yapısı ve ihtiyacı farklı olduğundan, zirkonyum kaplama uygulamaları kişiye özel planlanır. Düzenli ağız bakımı ve kontrollü kullanım, restorasyonların uzun vadeli başarısını destekleyen temel unsurlardır.

Leave a comment

Explore
Drag